治療の特色
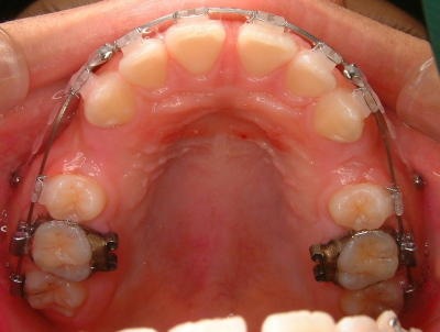
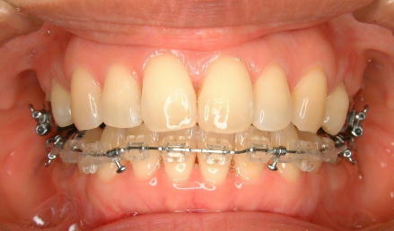
見えない装置による治療(リンガル矯正)
歯の裏側(舌側)に装置を装着する リンガル矯正 に対応しています。正面から見ても装置がほとんど見えないため、見た目を気にされる方に適した治療方法です。
上あごに裏側の装置を、下あごには表側の装置を用いる方法など、患者さんのご希望やお口の状態に合わせた装置の選択が可能です。
上あごに装置が付いているところ
正面から見たところ
上の装置は見えません。
※下の歯(装置)はあまり見えない方が多いです
アンカースクリューを用いた治療
小さなスクリュー(アンカースクリュー)をあごの骨に一時的に固定源として用いることで、 従来はヘッドギアなどが必要だった症例でも効率よく歯を動かすことができます。
前歯の牽引や、抜歯後のスペースを閉じる際などに使用し、治療の質と安定性の向上を図ります。
アンカースクリューを埋入して、ゴムにて前歯部の牽引をしています。
アンカースクリューを利用して、歯を抜いた後のスペースを閉じていきます。
受け口(反対咬合)の治療
乳歯列期(3歳頃)からの 受け口(反対咬合)治療 にも対応しています。
就寝時にお口にくわえて使用するタイプの装置など、 お子さんの日常生活への負担をできるだけ少なくする方法を取り入れています。
装置です
これをお口にくわえます
乳歯列期の反対咬合
装置を装着したところ
